Leistungen

Mit unseren zahnmedizinischen Leistungen bieten wir ein Höchstmaß an Qualität. Auf den Gebieten der Prophylaxe, Füllungstherapie, Parodontologie, Funktionsdiagnostik und ästhetischen Zahnheilkunde, sowie bei der Versorgung mit Zahnersatz und Implantaten arbeiten wir auf dem aktuellsten Stand der Technik. Wir bieten eine moderne und hochwertige Zahnmedizin für die ganze Familie - vom Kleinkind bis zum Senior. Gemeinsam mit Ihnen wählt unser Team die optimale Lösung für Ihre individuelle „Zahnsituation“ aus.



Ästhetik

Ihr Lächeln ist unsere Empfehlung!

Am Ende einer umfassenden Planung und dem Herausarbeiten Ihrer individuellen Zahnform und Oberflächenstruktur steht die Gewissheit, dass sich Ihre neuen Zähne vom echten Zahnbestand nicht unterscheiden lassen. Es gibt in der Zahnmedizin keine Perfektion von der Stange – oft ist es auch eine bewusst individualisierte Zahnstellung, die das perfekte, harmonische Erscheinungsbild erst ausmacht.



Bleaching

Zähne sollen natürlich und gesund aussehen. Wenn die Zahnfarbe nach einer Zahnreinigung allerdings immer noch zu dunkel für Ihren Hauttyp ist, kann nachgeholfen werden. 

Mit den aktuellen, schonenden und bewährten Bleaching-Materialien ist die Zahnaufhellung bereits in einer Sitzung möglich. Dabei werden die Zähne im sichtbaren Bereich isoliert und in mehreren Durchgängen gebleicht, bis das gewünschte Ergebnis erzielt ist.

Auch einzelne Zähne, die sich nach einer Wurzelkanalbehandlung dunkel verfärbt haben, können wieder aufgehellt werden. In mehreren Sitzungen kann dieser Zahn gebleicht werden, bis das gewünschte Ergebnis erreicht ist.



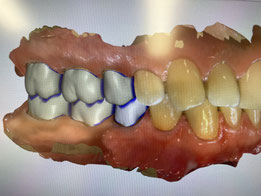
Cerec (CAD/CAM)

Digitale Chairside-Zahnmedizin mit CEREC

CEREC bietet sowohl für Zahnärzte als auch Patienten eine hervorragende digitale Chairside-Behandlung. Es ermöglicht uns die Herstellung von Zahnersatz (z.B. Inlays, Kronen, Brücken) in der eigene Praxis.

Das erspart wahnsinnig viel Zeit & Anproben und erzielt unglaubliche Präzision.
Dank 35 Jahren kontinuierlicher Weiterentwicklung gibt CEREC dem Anwender die Möglichkeit, eine Vielzahl von Indikationen mit der Sicherheit behandeln zu können, die auf hervorragenden Ergebnissen basiert.

 

Vorteile auf einem Blick:

  • keine Abdrücke, da im Scannen
  • Entgültiger Zahnersatz (Inlays, Kronen, Brücken) wird direkt eingesetzt, keine provisorische Versorgung nötig
  • extrem hohe Präzision
  • neuste Materialien


Chirurgie

Bei allem Bemühen, die Anzahl und den Umfang operativer Eingriffe auf ein Minimum zu beschränken, führt nach manchen Diagnosen kein Weg an einem umfangreicheren Eingriff vorbei. Besonders wenn frühere Behandlungen – wie zum Beispiel eine Parodontitistherapie – nicht zum gewünschten Erfolg geführt haben, wird dann eine chirurgische Lösung notwendig. Nach dem ganzheitlichen Prinzip, „So viel wie nötig, so wenig wie möglich.“, ist unser Ziel immer ein zufriedener Patient, dem unsere Behandlung auch auf lange Sicht ein wertvolles Stück Lebensqualität sichert – oder zurückbringt.



DVT (3D Röntgen)

Die 3D-Technologie, auch dentale Volumen-Tomographie (DVT) genannt, ermöglicht einen virtuellen Rundgang durch das zu untersuchende Gebiet am PC-Bildschirm.

Dadurch können sowohl kleine als auch große chirurgische Eingriffe optimal vorbereitet werden. Der Eingriff kann dadurch schneller und vorhersagbarer durchgeführt werden. 

Auch bei der Darstellung von (versteckten) Wurzelkanälen und Entzündungen sowie Fremdkörpern im Kieferknochen oder in der Kieferhöhle ist die DVT extrem hilfreich.



Eigenblutbehandlung (PRF)

Was ist PRF

Platelet-Rich Fibrin (PRF) ist ein biologisches Material, das aus Ihrem eigenen Blut gewonnen wird. Es enthält eine hohe Konzentration an Blutplättchen, Wachstumsfaktoren und Proteinen, die den Heilungsprozess beschleunigen und die Regeneration von Gewebe unterstützen. PRF wird in der Zahnmedizin häufig eingesetzt, um die Heilung nach chirurgischen Eingriffen zu verbessern.

 

Anwendungsgebiete von PRF in der Zahnmedizin

PRF wird in verschiedenen Bereichen der Zahnmedizin angewendet, unter anderem bei:

  • Zahnextraktionen: Verbesserung der Wundheilung und Verringerung des Risikos einer Alveolitis (Entzündung der Zahnhöhle).
  • Implantologie: Beschleunigung der Heilung von Weich- und Hartgewebe rund um Zahnimplantate.
  • Knochenaufbau (Augmentation): Unterstützung der Regeneration von Knochendefekten oder Aufbau für Implantate.
  • Parodontalchirurgie: Förderung der Heilung bei Behandlungen von Zahnfleischerkrankungen.
  • Weichgewebsregeneration: Verbesserung der Heilung nach chirurgischen Eingriffen am Zahnfleisch.

Vorteile von PRF

  • Natürlich und sicher: PRF wird aus Ihrem eigenen Blut hergestellt, wodurch das Risiko von allergischen Reaktionen oder Infektionen minimiert wird.
  • Verbesserte Heilung: Die hohe Konzentration an Wachstumsfaktoren fördert eine schnellere und effektivere Regeneration von Gewebe.
  • Schmerzlinderung: PRF kann Entzündungen reduzieren und postoperative Beschwerden lindern.
  • Keine chemischen Zusätze: Im Gegensatz zu anderen Methoden werden bei PRF keine chemischen Substanzen verwendet.


Füllungstherapie

Nach der Kariesentfernung werden die "Zahnlöcher" mit Zement, Amalgam oder Komposit aufgefüllt. Welches Material für Ihren Zahn das Beste ist, wird grundsätzlich vor der Behandlung mit Ihnen besprochen.

Die aktuellen Kompositmaterialien sind langlebig,  hochästhetisch und bestehen aus ca. 80% Keramik. Dabei können kariöse Zahne und abgebrochene Schneidezähne aus vielen Farben naturgetreu rekonstruiert werden.

Wenn der Defekt zu groß ist, sollte der Zahn später mit einer Teilkrone oder Krone stabilisiert werden.



Funktionstherapie

Funktionsstörungen des Kausystems, bzw. des craniomandibulären Systems, zählen nach Karies und Parodontitis zu den häufigsten Symptomen und Erkrankungen im zahnmedizinischen Bereich. Viele Patienten leiden seit Jahren unter Funktionsstörungen, dabei zeigt sich diese oft in Form von morgendlich verspannter Nacken-/ Kaumuskulatur, über Migräne bis zu Körperfehlstellungen. 

Schnelle Linderung der Beschwerden kann oftmals durch eine Schienentherapie in Kombination mit Physiotherapie erreicht werden. Darüber hinaus kann die Kaukraft mit einer Botox-Behandlung reduziert werden. Eine ausführliche Funktionsanalyse bringt hier Licht ins Dunkel.



Parodontitis

Parodontitis, gerne auch Parodontose genannt, steht für die Entzündung des Zahnhalteapparates (Parodont).

Dabei ist das Parodont als das Fundament der Zähne zu verstehen. 
Leider haben wir es bei der Parodontitis fast schon mit einer Volkskrankheit zu tun, denn mehr als die Hälfte aller Erwachsenen in Deutschland leidet darunter. 20% der 35-44jährigen und 40% der 65-74jährigen gehören bereits zu den schweren Fällen. Aber nur etwa eine Million der Erkrankten wird auch behandelt. Das Tragische daran: Ohne adäquate Therapie verliert man am Ende die betroffenen Zähne.   



Prophylaxe

Hauptsäule für gesunde Zähne sind saubere Zähne!

Die regelmäßige professionelle Zahnreinigung (PZR) dient der Kariesvorsorge und Parodontitisvorbeugung und somit dem langfristigen Erhalt der vorhandenen Zähne und Implantate.

Die Zahnreinigungsintervalle sind für jeden Patienten individuell zu bestimmen. In der Regel sollten unsere Patienten 1-2x pro Jahr die Zähne professionell reinigen lassen.

Bei Parodontitispatienten wird 4x pro Jahr eine unterstützende Parodontitistherapie (UPT) (modifizierte PZR) empfohlen, da hier eine dauerhafte Bakterienreduktion nötig ist.



Sanfte Implantologie

Einer meiner Schwerpunkte liegt im Bereich der dentalen Implantologie. Keine andere Form des Zahnersatzes kommt der ursprünglichen Situation (dem natürlichen Zahn) so nahe wie das Implantat. Die „künstliche Zahnwurzel“ aus körperneutralem Rein-Titan wächst fest im Kieferknochen ein. Auf diesem Fundament können Zahnkronen, Brücken oder sogar Prothesen fixiert werden. Nach der Versorgung haben Sie wieder den Komfort eines fest verankerten Zahnes. Es gibt keine Einschränkungen beim Lachen, Sprechen oder Kauen.

Sie können wieder das essen, was Sie möchten und nicht was möglich ist!



Schonende Zahnentfernung

Trotz moderner Zahnmedizin ist eine Zahnentfernung in manchen Fällen unumgänglich. Zange und Kraft spielen dabei nur noch im Patientenkopf eine Rolle. Im Großteil aller Zahnentfernungen kann auf Zangen verzichtet werden, indem man den Zahn mit sogenannten Luxatoren so lange lockert, bis er mit einer Pinzette entfernbar ist. Diese Methode ist für das umliegende Gewebe und den Patienten deutlich schonender. 



SureSmile Aligner

Lächeln nach Maß!

Ihre Zahnstellung ist nicht optimal? Der ein oder andere Zahn wirkt dunkel, da er durch die Verschachteln in den Schatten gerät? Die Zähne passen optisch nicht zusammen/sind zusammengewürfelt?

Aber trotzdem keine Lust auf eine feste Zahnspange/Brackets? 

 

Es geht auch anders: Dünne, durchsichtige Aligner-Schienen machen es deutlich komfortabler!

 

Kieferorthopädie 2.0:

Gesichtsfotos, Scans der Kiefer und 3D-Röntgenbilder werden zusammengebracht und können vor der Umsetzung grafisch animiert werden. 

Danach kann die Schienenbehandlung beginnen.

 



Wurzelkanal-Behandlung

Entzündete oder abgestorbene Zähne stellen für den Körper ein großes Problem dar, da die Entzündung nicht nur den Zahn, sondern insbesondere den Knochen betrifft und den gesamten Organismus beeinflussen kann. Diese Zähne können durch eine Wurzelkanalbehandlung erhalten werden. Die moderne, computergesteuerte Wurzelkanalbehandlung, in Kombination mit Einmal-Nickel-Titan-Instrumenten, erlaubt eine Erfolgsquote von bis zu 95%, in komplexen Fällen immerhin noch von 80%.

Die Alternative zur Wurzelkanalbehandlung ist die chirurgische Wurzelspitzenresektion oder die Entfernung des Zahnes.



Zahnersatz (Prothetik)

Bei uns finden alle gängigen Verfahren der Implantologie Anwendung, die sich in langjährigen Erfahrungen mit fest einzementierten oder verschraubten Kronen und Brücken hervorragend bewährt haben. Mit dem umfassenden Wissen aus zahllosen Fortbildungen können fehlende Zähne ersetzt werden, ohne gesunde Zahnsubstanz zu opfern. Selbst für große Lücken, endständige Zähne oder komplett zahnlose Kiefer, die sonst nur durch herausnehmbare Prothesen versorgt werden können, kann eine zufriedenstellende, prothetische Lösung gefunden werden. 

In enger Zusammenarbeit mit regionalen Dentallaboren  wird das ästhetische und funktionelle Optimum für den Patienten erarbeitet.